2025/12/10
Money是一隻好動的年輕公波斯貓,大概一個月前搬來高雄。搬家很混亂,到新環境的Money似乎有點不大適應,飯吃不完。當時飼主並不以為意,想說給貓咪一點時間習慣新家。殊不知Money飯越吃越少,活力逐漸下降,漸漸出現好像喘不過氣、呼吸窘迫的樣子。
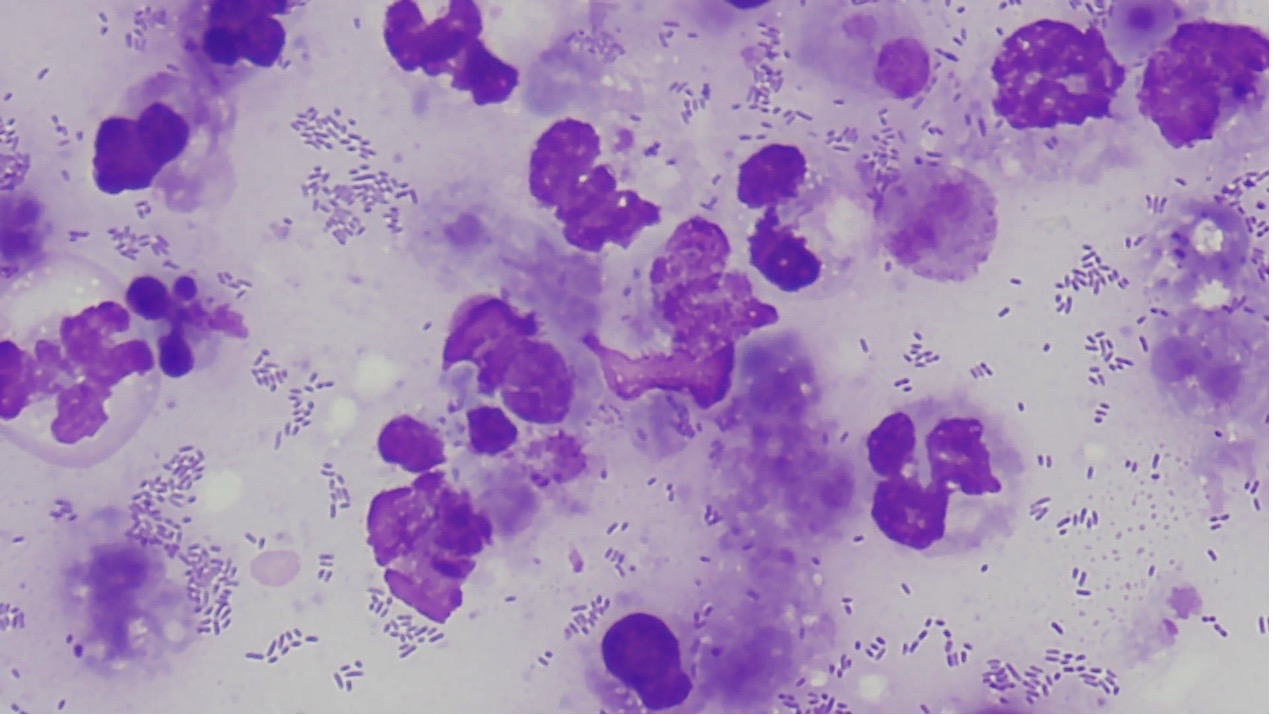
我遇到Money的時候,他已經去過兩間動物醫院。前一間醫院發現發燒以及胸腔X光的影像異常,建議他來做進一步檢查,釐清病因。超音波下,我們在Money的胸腔裡發現大量混濁的液體。液體抽出來,發現是膿,超音波下看見大量炎症細胞與桿菌 (圖1)。

圖1 左邊藍色箭頭指的是細菌,右邊紅色箭頭指的是嗜中性球 (炎症細胞)
化膿性、感染性的液體蓄積在胸膜腔內稱為膿胸,是貓咪常見的胸腔疾病之一。貓咪罹患膿胸的臨床症狀有時不太明顯,好比Money一開始並沒有出現嚴重的呼吸相關問題。較常見的症狀包括呼吸急促、呼吸困難、咳嗽、體重下降、嗜睡、不吃飯等等。如果大量的膿蓄積在胸膜腔內,限制肺部的擴張,就可能會出現快速、淺層的限制性呼吸模式。獸醫聽診常常會因為隔著一堆膿,而聽得模模糊的。
把胸膜腔積的水抽出來檢查,確定有核細胞數量、細胞型態、總蛋白量等等,是發現胸水後最重要的事,可以幫助診斷。Money的胸水是有大量有核細胞的滲出液,還發現很多細菌,因此可以診斷膿胸。膿胸的治療需要使用抗生素來消滅感染的細菌,抗生素的選擇須根據細菌培養的結果、抗生素敏感性試驗來選定。但單純使用抗生素大多很難控制好膿胸,需要盡可能清除那些感染性的液體才行,因此穿刺引流、放置胸管都是引流的方法,然而這些處置也存在氣胸、出血等等風險。當然同時也得做好疼痛管理、營養照護,才能夠成功對抗病菌。貓咪膿胸的回溯性研究顯示存活率大約是62%,大多住院存活超過24小時的貓咪都有還可以的預後。
Money已經開始使用抗生素,並且放好雙側的胸管、住院治療。希望小貓可以克服細菌感染,早日康復,好好在高雄生活。
溫琮斐 獸醫師
梅西動物醫院 內科主任
臉書粉專-獸醫好想告訴你 小編